珈创生物 —— 生物技术服务与研发为一体的高新技术企业

优质高效透明

High quality, efficient and transparent

振奋 | 第一个COVID-19疫苗的公开数据,中国医科院成功研制出新冠病毒灭活疫苗

发布时间:2020-04-22 14:46 信息来源: 阅读次数:

面对肆虐的疫情,全球医生和生物学家一直在全力寻找治疗和预防COVID-19的方法,在几乎不能有效控制的情况下,人类将更多期待投向了疫苗研发。

4月19日,中国医学科学院医学实验动物研究所在bioRxiv上传了COVID-19灭活疫苗的保护力文章,显示这个疫苗研制十分成功、效果良好,且安全性良好。

这是我们知道的第一个COVID-19疫苗的公开数据,而之前的部分疫苗研究虽然进入了临床试验,但实验数据并没有被公布。Hanson解读的特约科学家,一直在美国从事病毒研究的王宇歌博士,第一时间做了解读。

灭活疫苗是疫苗开发中最传统的方法之一。因为其工艺简单,因此在急性传染病爆发的时候,常常被作为优先开发的疫苗策略。

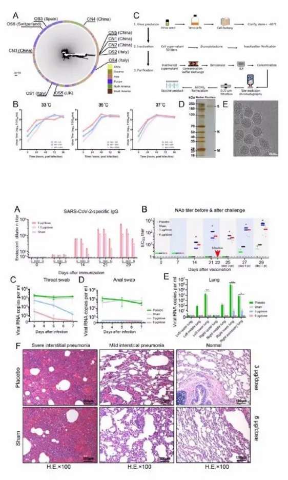
秦川课题组开发了纯化的灭活疫苗PiCoVacc。该疫苗为多价疫苗,可以针对多个地区流行的病毒毒株。研究人员首先在Vero细胞系中培养病毒,收集病毒上清后应用β-丙内酯进行病毒灭活,之后进行纯化,并制作成为疫苗制剂。

研究给予小鼠和大鼠接种PiCoVacc后,在实验动物中获得了高滴度SARS-CoV-2特异性IgG,接种6周后血清中和滴度可高达EC50 10e4,显著高于之前文献报道的康复患者血浆中抗体水平。而且免疫血清反应广谱,可以中和10个种不同SARS-CoV-2毒株。研究给予恒河猴免疫了两种剂量(3ug和6ug)PiCoVacc,以模拟人的接种情况,发现该疫苗接种安全,恒河猴在接种7天后即产生了高滴度(10e3)中和抗体。给恒河猴攻毒后,无ADE效应,进一步提示疫苗安全性良好。攻毒后,6ug接种组可将喉和直肠中病毒载量控制到检测临界值(基线)以下,而3ug和6ug组产生的免疫应答可将肺组织中病毒载量控制到基线以下。疫苗接种后恒河猴无肺病理损伤。提示该疫苗有高效保护力。除此以外,PiCoVacc不会造成T细胞激活和细胞因子释放。

image.png